Pathophysiology of atherosclerosis is irreversible; only prevention makes sense.
This is a long page and one of the most important at this site; if you want to live long in the land make for a focused half hour at least. Only read further when you have time to ponder.
So you have been informed you have a damaged aorta or perhaps worse still, hardening of the cerebral arteries. Actually, in this latter case it is likely your family that would be told; by the time it has been diagnosed there is a good chance you already have lost your marbles. And will not have a clue about the diseases of blood vessels.
Atherosclerosis or hardening of the arteries is a disease of civilisation. It's common in all Western societies and rare in those that have not come in contact with urbanisation.
It is also known as arteriosclerosis.

This page was last updated by Dr Bernard Preston on 4th February, 2024.
It is much worse in diabetics; type 2 is strongly associated with our Western lifestyle. Obesity is the number one cause and interestingly those who have regularly consumed artificially-sweetened beverages are even more at risk than those who enjoy their sugar colas.
"Those who had artificially-sweetened colas every day had an increased risk of 2.21 but those drank sugared beverages had a smaller yet still significant probability of 1.34 of getting type 2 diabetes, report researchers who followed 66,118 French women over fourteen years."
- American Journal of Clinical Nutrition(1)
The side effects of artificial sweeteners are even worse than drinks with sugar when it comes to glucose intolerance, metabolic syndrome and diabetes.
Diets where there is weight loss but all is soon regained also significantly increase the risk of cardiovascular events, report researchers in the New England Journal of Medicine.(2)


This is an aside. What do the terms HDL and LDL mean and why are they so important? Read more at this site by typing
EXERCISE AND CHOLESTEROL into Site Search in the main menu above.
Pathophysiology of atherosclerosis causes hardening of the arteries.
The next steps in the atherosclerosis disease process are as follows.
In short the pathophysiology of atherosclerosis is extremely complex and is still being unravelled by scientists.
"If the only tool you have is a hammer,
you tend to see every problem as a nail."
- Abraham Maslow
It's long been known that unrefined oats is the most powerful foodstuff in the fight to lower elevated bad cholesterol, a big factor in the causes and prevention of atherosclerosis.
In general unrefined grains promote greater well-being of the blood vessels but they are hard to get and there's a lot of deceit in the milling industry. That term "wholemeal" is usually a big fat lie.
Fake "wholemeal"A researcher at Tufts University Mohsen Meydani, working on the pathophysiology of atherosclerosis and nutrition has now proved that oats does much more than simply lower blood cholesterol. It contains an antioxidant that prevents sticky blood cells from adhering to the walls of damaged arteries; even reducing hypertension, for example.
Control of blood glucose is also central in the prevention of atherosclerosis. With nearly a half of folk in the Western world showing signs of prediabetes, it is little wonder that cardiovascular disease is so prevalent. The solution, unpopular though it may be is the avoidance of all refined carbohydrate.
It may seem hard to believe but in many Western countries the average person consumes 6 cups of sugar per week; that is over 40 teaspoons per day. This is one of the prime causes of obesity and diabetes; and the reason why Covid-19 deaths have reached over half a million in America.
Disappointed and angry, consumers are in denial. We simply cannot have our cake and eat it; except perhaps on high and holy days.
Can you imagine 150 pounds of sugar in one year? That is what the average person consumes. Then you get health nuts like Bernard Preston who has almost none; some people are having far more.
"Never before better fed yet so poorly nourished."
Work is continuing on how oats not only reduces the inflammatory changes that build up in arterial cells damaged by atherosclerosis disease, but also helps by reducing the proliferation of damaged smooth muscle than lines the inner walls of all arteries.
So do not be totally despondent if you have been told you have atherosclerosis of the aorta for example, the very large artery that supplies the bowel and legs.
Whilst attempts to reverse atherosclerosis are probably in vain you can do much to prevent the further proliferation of atherosclerosis symptoms and disease at this site of inflammation and at new sites.
How much a loved one with cerebral atherosclerosis can be helped is less certain. But what's the harm in trying 3 tablespoons of unrefined oats every morning for breakfast? It's almost certainly cheaper than all the frosties, crispies and toasties on the market.
More research is now suggesting that that raised bad cholesterol is not caused by animal fat; highly glycemic carbs are the demon. Butter is back. White rice and bread are definitely out as are all the sugary bagels and refined flour goodies; chocolate cake and the like.
Whoops that was a slip of the tongue; baddies, not goodies.
Dr Campbell's twenty year diabetes rule makes for sobering reading; just 20 tsp of sugar per day is all it takes.
Just as important is researchers are now finding that the antioxidant in oats also prevents any malignant cells that line the inner wall of your bowel from proliferating too.
Even better is to cook enough oats for several days, cool it in the fridge overnight and then use it to make your delicious breakfast; a process called retrogradation makes it difficult for enzymes to digest the starch in the small intestine. It passes straight through becoming a "prebiotic" for the bugs in the colon that form healthy short chain fatty acids instead of glucose, with no insulin rush.
There's lots of research coming out now about the microbiota in the large intestine; feed them with this resistant starch that is not digested in the small intestine and you will be far less likely to become diabetic or suffer from an autoimmune disease like lupus.
The whole subject of phytochemical foods is obviously vast; one can labour and fret over it but, much simpler, is to enjoy a wide array of coloured and unrefined foods. Just the influence of walnuts on blood pressure reminds us of the importance of a healthy breakfast.

Omega 3 fatty acids are found mainly in certainly oily foods; especially fatty fish, freshly-ground flaxseeds and walnuts. And to a lesser extent others like pecans; they are a vital part in the fight against cardiovascular disease.
They are "essential" fatty acids, meaning your body can't make them. If you do not eat omega-3 foods regularly, you will develop atherosclerosis of the arteries.
Dairy products remain controversial, not least because the milk from a free range, pasture-fed dairy cow is quite different than that from the poor beast that's never seen a blade of green grass. Nevertheless, butter is back with a vengeance; and should probably never have been banned.
It
all depends on which artery is blocked. If it's one of the lumbar
arteries, then you are likely to have repeated episodes of lower back
pain; because the injured tissues in your back will simply not be
getting enough blood. Atherosclerosis symptoms are complex and varied.
If it is one of the coronary arteries, then chest pain with exercise will be the order of the day. The heart muscle doesn't get enough blood; angina.
If it's one of the iliac arteries that pass through the groin on the way to the leg, then you will get pain in the leg WITH EXERCISE. As soon as you rest, the pain goes away.
If you love to read, enjoy this freebie from my third book, Stones in my Clog, fascinating anecdotes from Bernie Preston's chiropractic coalface. Is it possible that a chiropractor could diagnose a blocked artery that medicine had missed for two years? Nope, it wasn't sciatica after all as they told him.
Two simple basic tests made the diagnosis, confirmed by an angiogram but the old rule repeats itself again: IF YOU DON'T LOOK FOR IT, YOU WILL NOT FIND IT.
The material expressed on this page is gleaned from the nutritional and environmental literature; it is clearly referenced. A plain distinction is made between the author's opinion and that which is scientifically proven. When in doubt consult your health professional.
To suggest a correction or clarification, write to Dr Bernard Preston here. Contact.

This is the arteriogram taken after Bernie referred his patient to a vascular surgeon. Truth be told: I wasn't surprised, but all his doctors were. Walking gave him pain in the calf and he didn't have a pulse in the ankle.
One of the best things for early cerebral
atherosclerosis is brain exercise. Feed your brain, have lots of laughs and not a few sober
moments, and support this website. Just $3.39 on your Kindle from Amazon.
Our newsletter is entitled "create a cyan zone" at your home, preserving both yourself and Mother Earth for future generations; and the family too, of course. We promise not to spam you with daily emails promoting various products. You may get an occasional nudge to buy one of my books.
Here are the back issues.
Find the links to those topics highlighted in bold by copying and pasting into the Site Search function in the navigation bar above.

The pathophysiology of atherosclerosis also weakens the walls of arteries allowing for a bulging of the vessel known as an "aneurism." They are silent and deadly; it all begins with inflammation and atherosclerosis of the aorta, for example, or in the brain.
As the blood pressure rises, caused by the general narrowing of the arteries forcing the heart to pump harder, the bulge in the aneurism silently increases in size. Then one day, poof, a bout of coughing or bearing down too hard on the toilet increases the BP sufficiently to burst the vessel; a fit of rage, or just rushing across a busy street too. In the case of the aorta, the usual result is very sudden death.
Magnesium and the heart are intimately connected.

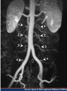
A narrowing of the artery by atherosclerosis of the aorta simply reduces blood flow to the various organs, notably the kidneys, the intestines and the spine; the brain and legs too.
Intermittent claudication causes pain in muscles whilst exercising, but quickly relieved by rest; it's a sure sign of an advanced stage of the pathophysiology of atherosclerosis.
Angina of the heart is another example.
This reduced blood flow to the legs produces a strange syndrome characterised by no symptoms whilst the sufferer is at rest, but pain in a muscle starved of oxygen as soon as it is forced to exercise.
Stopping the activity immediately alleviates the pain as the need for oxygen in the muscle is reduced.
Walking produces severe pain in the calf; cycling in the thigh muscle.
The sign your DC will look for to distinguish between claudication and sciatica is the presence of the pulse in the ankle and on the foot.
Postmortem studies have found a strong correlation between artheriosclerosis of the aorta and degenerative disc disease; that means chronic LBP. The tissues of the spine simply don't get enough oxygen to heal after injury resulting in the development of a difficult lower back.

Homocysteine is the normal breakdown product of protein metabolism. But it's highly toxic to blood vessels and is immediately converted into two other substances in the body. But this process is utterly dependent on certainly B vitamins and zinc. Without them there is certain onset of inflammation in the body including the arteries; pathophysiology of atherosclerosis.
Folk who do not consume enough of these vital substances will have raised homocysteine in the blood. It's even more toxic than raised LDL cholesterol; perhaps surprisingly free range eggs for their choline and omega-3 are part of the solution.
One of the those substances is betaine, found naturally in beets, after which it is named, spinach and 100% whole wheat; a high dietary intake decreases the inflammatory markers by more than 20%.
It's one of the reasons why those enjoying whole grains for breakfast, but not if they are refined[6], have a 29% lower risk of heart failure.
That could be a whole grain muesli, cooked rolled oats, or just a slice of 100% wheat toast; many folk have stomach pain with a raw breakfast cereal.
Best to my mind is a porridge and Eggs Florentine on a slice of 100% wholewheat toast; they contain plenty of betaine, choline and magnesium; and most of the B vitamins.
Fat in nature is entirely of the 'cis' type; to make it solid, food companies hydrogenate it to the 'trans' form; margarine is easier to spread on your bread that sunflower oil.
But there's a simply huge problem; trans fats, by the same mechanism as high cholesterol, inhibit the responsiveness of a growth factor in the inner lining of arteries that prevents atherosclerosis, or hardening of the arteries.
If you are taking high blood pressure pills, it's very likely because you were a smoker, or had a diet high in cholesterol or trans fats.
Food companies are compelled (in theory) to list trans fats, but by using damn lies statistics they manipulate the figures to conceal. 20% of the fat in Marmite for example is trans fat, but they list it as zero per helping. Bettercreme sucks is another.
Magnesium is a vital mineral easily lost in the water used to cook vegetables; it's very important to prevent the development of the pathophysiology of atherosclerosis in blood vessels.
There's quite strong research coming out now that adequate magnesium
in the diet is vital for preventing the inflammation that affects the
wall of the arteries, and especially those of the heart.
How much is adequate? About 400mg per day and not many people on a typical Western diet are getting enough. Unfortunately, taking it in pill form is not as affective as getting it from your food. Dark green leafy veg, beans, nuts; look no further than Swiss chard food.
The beauty of a diet rich in these coloured foods is that not only will you be enjoying the protection of minerals like magnesium, but also phytochemicals like the kaempferol and cancer prevention.
Research
in Japan shows that getting enough magnesium will reduce your chances
of having a heart attack or stroke by a massive 50%. See how you can
EASILY increase the mineral from your food.
"There is no adverse relationship between DIETARY calcium intake and coronary cardiovascular events."
- Professor Matthew J. Budoff, MD, chair of Preventative Cardiology Lundquist Institute.
However researchers are consistently finding that the kidneys cannot handle high levels of calcium from supplements, especially if ultra vitamin D is also prescribed; the mineral is deposited in the lumen of the arteries causing hypertension and an increased level of CV disease.
High serum phosphate is also associated with atherosclerosis; they cause damage to the inner lining of the blood vessels with consequent calcification leading to hypertension. It has long been known to be associated with chronic kidney disease, stroke and heart attacks[3].
That serum phosphate comes from two sources, one of which cannot nor should be avoided; meat, starches and legumes. It is impossible to lower that without cause a protein deficiency. In our food it is organically bound and only about a half is absorbed from the gut.
However, the other source, which is not organically bound, is almost completely absorbed in the alimentary canal; this is the cause of high serum phosphate and the consequent damage to our blood vessels leading to a host of serious diseases including blindness[4]. Processed meat, ham, sausages, baked good and soft drinks are the source of this killer.
Food additives like flavour enhancers, preservatives and those that preserve the colour of our food are particularly high in phosphorus; and those that help retain moisture in baked goods too.
For plants, going to seed is a normal part of the cycle of life and death.
But figuratively speaking, it's the avoidable part of slipping relentlessly towards an early, premature demise. And no where is it seen more clearly than in the aging of our blood vessels. When they are unable to get fresh, nutrient rich blood to our body parts, it is the beginning of the end.
Not much is written about the venous return of blood, but it is important too. There is new research coming out that even diseases like MS may be caused by a poor vascular system removing wastes from the brain.
Whether it's the brain, the heart, the musculo skeletal system, the pathophysiology of atherosclerosis is a subject that should absorbe us if we plan to live to a healthy and hearty eighty, with all our marbles intact. Have you heard of blue zone longevity? Ten times as many people live to 100 and still strong in their nineties is not unusual.
A good place to start is grinding flax seeds.
Foods to reduce inflammation is primarily about blood vessels and atherosclerosis, but also concerns the pain in muscles and joints. For example, the capsaicin health benefits in the chili family give protection to the body; we particularly like growing peppadews which can be hot but are milder than jalapenos and much less fiery than most of the pepper family.
Having said that, this green chili sauce recipe is a great favourite.
These all belong to what is now being called food for the brain.
Natural honeycomb is rich in pollen which contains many compounds that inhibit platelet induction and increase nitric oxide synthesis, lowering blood pressure[7]. Beekeeping is strongly associated with longevity.
When browsing use right click and "Open Link in New Tab" or you may get a bad gateway signal.
If you read just one book a month, you'll probably fall short of a thousand in your whole life, and most likely nearer 500. Enjoying a good book is like having a private conversation with the author.
If you are enjoying Bernard-Preston.com, then perhaps I can invite you to a journey through the polders of Holland. That's how you can support this site, and enrich your own life with some easy bedside reading and stepping up to better health.
My books are available from Amazon on Kindle.
Did you find this page interesting? How about forwarding it to a friendly book or food junkie? Better still, a social media tick would help.
Address:
56 Groenekloof Rd,
Hilton, KZN
South Africa
Website:
https://www.bernard-preston.com